マルチディテクターCTについて
CTでの心臓検査
当院では今まで16スライスCT装置を使用していましたが、新病院では128スライスCT装置へ更新しましたので、外来診療での心臓撮影を開始致しました。
近年、生活習慣の変化や動脈硬化やメタボリック症候群などの因子により、心筋梗塞や狭心症等の心疾患が増加しています。
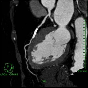
心筋梗塞や狭心症を引き起こす原因は、心臓周りを取り巻く血管(冠動脈といいます)の内部が狭くなったり閉塞したりして血液供給が不十分になり発生します。
冠動脈の診断で最も信頼できる検査として心臓カテーテル検査があります。しかし、カテーテルを血管内に挿入する検査であり、合併症や検査費用、入院の必要性があったりと心配な材料もあります。
X線CTでの心臓検査は、造影剤を腕から入れて、数秒間の撮影を行うだけで検査が終わりますので日帰り検査も可能であり、被ばくの心配等も少ないです。



以下のような方に心臓CT検査はおすすめです。
- 胸痛、胸部圧迫感、息切れなどの自覚症状を持つ方
- 高血圧、糖尿病、高脂血症、喫煙歴などの危険因子を有している方
- 心電図異常を指摘されている方
- カテーテル検査に対して不安のある方
















